狗乳房上长一疙瘩怎么办
这个有可能是狗狗长了个乳腺肿瘤,这个在经常发情却未配种、生产断奶后有乳汁残留的狗狗身上会比较容易出现。如果你家狗狗是这种情况的话,是需要手术治疗的,对肿瘤进行切除。另建议给狗狗做绝育手术,可以有效的减少乳腺肿瘤的发生。我养了条德国牧羊犬是只母犬,最近,发现狗狗乳房肿块,特别硬特别的大,不知道应该处理,应该吃什么药?
你家的狗有没有假孕过?
看你的描述应该是乳腺的肿瘤。血性的溢出液是很明显的标志。如果这个肿瘤目前只是一个,还没扩散到其他的乳区,在狗可以耐受手术的前提下需要摘除肿瘤,有条件最好对肿瘤组织进行细胞学检查,判断肿瘤的属性(良性/恶性)。摘除良性肿瘤的预后乐观,但是恶性肿瘤的预后多数会复发,甚至扩散。
你仔细检查一下你家狗其他乳头的周围,有没有细小的硬块,如果有,很可能是扩散的肿瘤,还有一个你可以给狗照一张透视片子,看狗的肺部有没有转移的肿瘤,因为很多狗肿瘤的转移都会发生在肺部。
这种(转移)情况下,手术的治愈率也很低,这和人的肿瘤一样的。
请尽快到有一定条件的宠物医院进行诊断和治疗把。常见有乳房肿瘤的病例,特别是成年后才结扎或从未结扎的母犬。 哺乳时期的母犬也有可能发生乳房炎,乳房发生肿胀、红肿、发热并且疼痛,育幼行为减少,也会影响幼犬的健康,可能并有发烧,食欲减少,焦躁不安,衰弱甚至死亡。建议带狗狗去医院检查,祝狗狗早日康复!

狗乳头有硬块怎么办
你好 如果是在狗狗发情过后出现的这种情况的话,主人不需要太紧张,这样的只要过一段时间就会自己好的,不需要主人做什么,只要安心的等待即可。因为这是狗狗经常会出现的一种现象叫做:假孕。在狗狗发生假孕期间,狗狗会和哺乳的狗狗一样,乳房出现肿胀的现象,泌乳,但是拍不出导致淤结,形成硬块。 如果是最近才出现的,那就有可能是出现了奶结。只需要主人用热毛巾给狗狗热敷一下,同时给狗狗多按摩帮助它将硬块揉开,如果主人嫌麻烦也可以去宠物店或者找兽医进行治疗,不过这不是太严重的问题,各位主人可以放心。 如果一直有,而且时间比较长,经过上面的方法无法治愈,那么就可能是出现乳腺瘤了。早期的可以通过切除乳腺及乳房来解决,狗狗乳房有个肿块,怎么办?
狗狗腹部有明显的肿块,是否需要送医治疗?这个问题是仁者见仁智者见智的,因为每个人的想法不同,所以这样的问题也就有着很多种答案,笔者的说法也不会一定对,但是就这题给大家说说笔者自己的看法。
狗狗是我们人类的朋友,在人类漫漫的历史长河中,它们一直陪伴在人类左右。狗狗的一生往往只有78年,很少能达到十年。这与我们人类相比是十分短暂的,所以我们要在短暂的时光里,给予我们狗狗足够的关怀。

我们知道动物是不会说话的,我们的狗狗腹部有明显的肿块,他是不会自动说出来的。所以我们要在日常的生活中给予狗狗足够的关注。那狗狗腹部有明显的肿块,我们要怎么处理呢?
这里我建议把狗狗送去医院。医院里有专门的人负责,具备这方面相关的知识和技能。可以给我们狗狗最及时也是最准确的治疗。肿块很大可能是类似于我们人类的肿瘤。虽然分为良性和恶性,但也不能忽视它的存在的危险。

一旦发现我们的狗狗,身体哪个部位存在肿块。我们要及时的区分,这个肿块是因为狗狗在哪个坚硬的地方碰撞造成的,还是因为消化饮食问题或者是病毒感染问题引起的肿块。如果都不是那就很可能是肿瘤。这个时候我们一定要及时的送去就医治疗。
如果是肿瘤,可能还要进行相关的手术进行肿瘤切除。这个时候我们一定要安排照顾好狗狗的术后情况。总之,我认为狗狗腹部有明显的肿块。首先要判断区分这个肿块是否是肿瘤。如果是还是有必要立刻送去就医治疗的。

以上就是我个人对于这个问题的一点不成熟看法,不代表任何参考建议,如有不妥不周之处,希望批评指正哦。
狗狗得乳房肿瘤怎么办
犬乳腺肿瘤是老龄母犬常发的肿瘤,只有充分认识到肿瘤的发病情况和性质,才能更好的面对此类病例。本文就以上内容进行说明。
一、乳腺肿瘤的发病特点
乳腺肿瘤的发病率约占母犬所有肿瘤的1/2。虽然母猫乳腺肿瘤的发病率相对较低,但是乳腺肿瘤也是猫的第三大类常见肿瘤。乳腺肿瘤是雌性犬常见临床病,少发于雄性犬。犬大约有30%-50%的乳腺肿瘤是恶性的,而猫的则达到90%。在我国,该病例多发于京巴犬、西施犬、德国牧羊犬、博美犬。发病年龄多集中在8-10岁左右,未生育、未绝育、有假孕史及日粮以肉食为主的犬多发。发生部位多为单个乳腺发病,主要集中在右侧乳腺及左右腹股沟乳腺下方,患犬雌二醇和孕酮水平较高。

已经破溃的乳腺肿瘤,发于左右两侧最后乳腺

另一患犬,发生乳腺肿瘤右侧第三乳腺

乳腺肿瘤,大小不一
二、乳腺肿瘤发病率

乳腺肿瘤在各个肿瘤中所占的比例为23%,数据来源为德国纳博科临临床检验实验室
三、诊断
应包括完整的体检和基本的血液学检查和基本生化检查,以求能从整体来评估动物的健康状况:
1.病史调查;
2.物理检查包括呼吸、脉搏、体温、体重、体表淋巴结的检查、可视黏膜的检查、血压的测量;
3.视诊乳腺生长的位置,性质有无破溃;
4.触诊触摸肿块的大小、质地,有无分界线、有无痛感等;
5.血常规血液生化的检查;
6.B超的检查确定肿瘤的性质;
7.X光确定肿瘤有无转移。
四、治疗
1.手术切除;
2.手术切除加化疗;
3.化疗;
具体实施那种治疗方法,取决于肿瘤的性质和患病动物的体质。
可选择的手术方法包括:
1.切除结节、包块2.切除病变的乳腺3.除切除发生病变的乳腺外,也切除从该乳腺流经淋巴液或血液的乳腺4.切除单侧乳腺组织。
犬的前三对乳腺的排出液为向颅侧排出,第四和第五对乳腺的排出液为向尾侧排出,但是在相邻的乳腺之间可能还是会有一些淋巴液的交换。所以从理论上讲,大多数的乳腺肿瘤都需要移除相邻的乳腺组织,而发生在第三对乳腺上的肿瘤就需要移除掉同侧的所有乳腺。猫的乳腺分界不明显,适宜进行全切除。
五、肿瘤性质确定
组织病理学确诊:
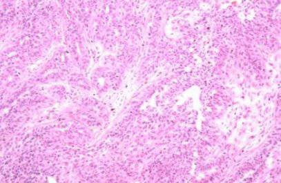
需要切除乳腺后,选取合适的组织块进行HE染色后进行肿瘤的确诊。同一个患犬身上,发生的肿瘤,在不同的部位发生,肿瘤的性质也会不一样。对于乳腺肿瘤,只做细针抽吸进行细胞学检查的意义不大。

病理切片,显示腺体增生
六、预后
大部分手术切除的良性肿瘤预后良好,但也有部分肿瘤复发。可能会有恶性病变的可能。对于分化良好的癌,其预期生存时间会超过两年,对于有侵袭性的癌,往往预后不好。即使进行切除,癌变也会发生转移,生存期较短。腺癌手术切除后平均存活时间——24.6月。
实质癌手术切除后平均存活时间——6.5月。癌直径<5cm,若切除彻底,一般预后都很好。