牙槽骨条件不好可以做种植牙吗
牙槽骨条件差也是可以种牙的,难度相对比较高。选择合适的植体,由经验丰富的医生进行针对性的手术方案设计,也是可以圆种牙梦的!
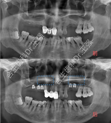
以下就是患有牙周炎、牙槽骨条件不佳、骨量不足的种植牙病例展示:


本人缺牙已经有好几年了,还能做种植牙吗?
可以做种植牙。【点击咨询在线口腔助理专业解答】种植牙是跟种庄稼一样,用手术将种植钉植入颌骨内,待3至6个月后种植体与颌骨结合牢固,在种植体上端将假牙接好即成为一个种植牙。拔牙后3-6月进行种植手术,植入人工种植体(人工牙根)。手术后6月在人工牙根上做修复(烤瓷牙等)。戴用种植义齿的患者在行使咀嚼功能时,牙合力经过种植体直接传导到颌骨内或颌骨上,力量很快被传导和分散到较大的支持骨内,因而能够承受较大的牙合力,具有良好的支持作用。种植义齿通过基桩上的固位装置,将上部义齿固定,有良好的固位和稳定作用。种植义齿基托小或无基托,感到舒适。
更多关于种植牙的问题,推荐咨询贵州德韩口腔医院。德韩口腔集团是以国际化医疗视野和现代化服务标准,为全球精英人群提供温馨口腔医疗养护服务和尊贵就医体验的品质口腔连锁集团。源自德韩、服务全球,德韩口腔以国际化品质、亚韩式服务,围绕“养护胜于治疗”的理念,整合中、德、意、韩等国内外权威专家,采用当今世界前沿医疗技术和国际成熟的口腔诊疗模式,开展口腔内科、口腔外科、口腔正畸、口腔种植、口腔修复等多个口腔医学业务。
